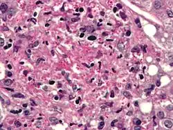
Histoplasma

Taxonavigation
| Taxonavigation: Onygenales |
|---|
|
Superregnum: Eukaryota |
Familia: Ajellomycetaceae
Genus: Histoplasma
Species:
H. duboisii –
H. capsulatum
Name
Histoplasma Darling, 1906

| Taxonavigation: Onygenales |
|---|
|
Superregnum: Eukaryota |
Familia: Ajellomycetaceae
Genus: Histoplasma
Species:
H. duboisii –
H. capsulatum
Histoplasma Darling, 1906