| Proud syndrome | |
|---|---|
| Other names | Proud Levine Carpenter syndrome |
![]() | |
| Specialty | Medical genetics |
| Symptoms | intellectual disabilities, brain anomalies and seizures |
| Usual onset | Birth |
| Duration | Lifelong |
| Types | It belongs to a group of disorders which are associated with the ARX gene |
| Causes | Genetic mutation |
| Differential diagnosis | Idiopathic intellectual disability |
| Prevention | none |
| Prognosis | Medium |
| Frequency | Very rare, only 37 cases have been described in medical literature |
| Deaths | - |
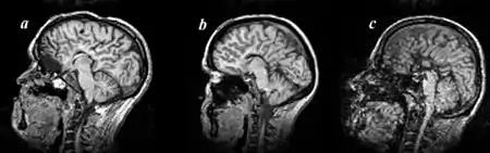
Proud syndrome is a very rare genetic disorder which is characterized by severe intellectual disabilities, corpus callosum agenesis, epilepsy, and spasticity. It is a type of syndromic X-linked intellectual disability.
Signs and symptoms
The following list comprises the symptoms this disorder causes:[1][2]
- Corpus callosum agenesis
- Severe intellectual disabilities: IQ between 20 and 34
- Microcephaly
- Epilepsy
- Severe developmental delays
- Short stature
- Spasticity
- Dystonia
- Limb contractures
- Hypospadias
- Cryptorchidism
- Renal dysplasia
- Intersex genitalia
- Scoliosis
- Supraorbital ridge prominence
- Unibrows
- Large eyes
- Hirsutism
- Nystagmus
- Large ears
- Strabismus
- Optic atrophy
- Inguinal hernia
Symptoms list consists of combined information from GARD and OrphaNet, people with the disorder may not always have all the symptoms.
Causes
This condition is caused by X-linked recessive mutations in the ARX gene, in chromosome Xp21.3. Affected males often have symptoms which are more severe than the rare affected females.[3] This gene is thought to be important in interneuronal migration, neuronal proliferation and embryonic brain and testes differentiation.[4]
Epidemiology
According to OMIM,[5] only 37 cases have been described in medical literature.[6][7][8][9]
References
- ↑ "Proud syndrome - About the Disease - Genetic and Rare Diseases Information Center". rarediseases.info.nih.gov. Retrieved 2022-06-13.
- ↑ RESERVED, INSERM US14-- ALL RIGHTS. "Orphanet: Proud Levine Carpenter syndrome". www.orpha.net. Retrieved 2022-06-13.
{{cite web}}: CS1 maint: numeric names: authors list (link) - ↑ Sensory 5. "Proud syndrome | Rare Diseases". RareGuru. Retrieved 2022-06-13.
{{cite web}}: CS1 maint: numeric names: authors list (link) - ↑ "KEGG DISEASE: Proud syndrome". www.genome.jp. Retrieved 2022-06-13.
- ↑ "OMIM Entry - # 300004 - CORPUS CALLOSUM, AGENESIS OF, WITH ABNORMAL GENITALIA". www.omim.org. Retrieved 2022-06-13.
- ↑ Proud, V. K.; Levine, C.; Carpenter, N. J. (April 15 – May 1, 1992). "New X-linked syndrome with seizures, acquired micrencephaly, and agenesis of the corpus callosum". American Journal of Medical Genetics. 43 (1–2): 458–466. doi:10.1002/ajmg.1320430169. ISSN 0148-7299. PMID 1605226.
- ↑ Bonneau, Dominique; Toutain, Annick; Laquerrière, Annie; Marret, Stéphane; Saugier-Veber, Pascale; Barthez, Marie-Anne; Radi, Sophie; Biran-Mucignat, Valérie; Rodriguez, Diana; Gélot, Antoinette (March 2002). "X-linked lissencephaly with absent corpus callosum and ambiguous genitalia (XLAG): clinical, magnetic resonance imaging, and neuropathological findings". Annals of Neurology. 51 (3): 340–349. doi:10.1002/ana.10119. ISSN 0364-5134. PMID 11891829. S2CID 11071504.
- ↑ Kato, Mitsuhiro; Das, Soma; Petras, Kristin; Kitamura, Kunio; Morohashi, Ken-Ichirou; Abuelo, Diane N.; Barr, Mason; Bonneau, Dominique; Brady, Angela F.; Carpenter, Nancy J.; Cipero, Karen L. (February 2004). "Mutations of ARX are associated with striking pleiotropy and consistent genotype-phenotype correlation". Human Mutation. 23 (2): 147–159. doi:10.1002/humu.10310. ISSN 1098-1004. PMID 14722918. S2CID 37481508.
- ↑ Marsh, Eric; Fulp, Carl; Gomez, Ernest; Nasrallah, Ilya; Minarcik, Jeremy; Sudi, Jyotsna; Christian, Susan L.; Mancini, Grazia; Labosky, Patricia; Dobyns, William; Brooks-Kayal, Amy (June 2009). "Targeted loss of Arx results in a developmental epilepsy mouse model and recapitulates the human phenotype in heterozygous females". Brain: A Journal of Neurology. 132 (Pt 6): 1563–1576. doi:10.1093/brain/awp107. ISSN 1460-2156. PMC 2685924. PMID 19439424.
