7

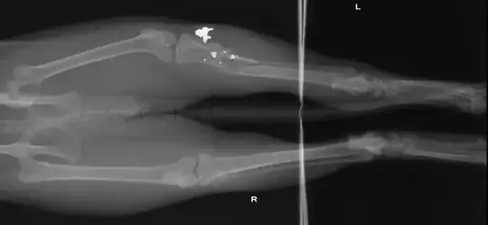
What are the white/opaque shards in these cat leg X-rays?


enter image description here


enter image description here


I'm guessing they are some kind of metal.

The entry wound is very small. Just a 1/2 inch cut on the inside of the leg. No cuts on the outside of the leg.

User1974
  • 549
  • 5
  • 17

1 Answers1

6

As @Harry V. suggested in a related post, the shards turned out to be lead pellet gun fragments.

enter image description here


Radiology report:

In the left proximal tibia and fibula there are highly comminuted fractures and mild displacement, moderate soft tissue swelling and a large amount of metal debris at the fracture site.

The left hip is luxated and abnormal. The femoral head and neck are abnormally shaped and have moderate particular new bone formation on all aspects. Not other abnormalities are detected.

Opinion and Recommendation:

  1. Comminuted mildly displaced proximal left tibial and fibula fractures tue to a projectile injury (gunshot of some type).

  2. Luxated left hip with abnormal conformation and moderate osteoarthrosis. The chronic changes in this hip are likely due to avascular necrosis of the femoral head and neck and/or a proximal physeal fracture. Hip dysplasia cannot be completely ruled out; however it is less likely since there is normal conformation in the right hip.

I'm surprised that a pellet could shatter multiple bones like that. It must have been a very unlucky shot.

User1974
  • 549
  • 5
  • 17
  • The surgeon attempted to repair the leg. But unfortunately, the bones kept breaking when the surgeon tried to attach the plate. The pellet had shattered the shin bones and made the remaining bones too brittle to work with. – User1974 Aug 24 '21 at 14:22
  • 2
    Sadly, the surgery was unsuccessful. The leg had to be amputated. It was upsetting enough when I thought the injury was caused by an accident. Even more upsetting now that I know someone did this deliberately to my cat. – User1974 Aug 24 '21 at 14:22
  • 8
    I am sad to hear this. I think I speak for the most people here, when wishing your cat the best for the future! – Allerleirauh Aug 24 '21 at 14:40