Mallet finger
| Mallet finger | |
|---|---|
| Other names: Hammer finger,[1] extensor tendon injury at the DIP joint,[2] baseball finger,[3] | |
![]() | |
| Mallet finger of the middle finger. The tip of the finger bends downwards while the other fingers stay straight. | |
| Specialty | Emergency medicine, plastic surgery |
| Symptoms | Inability to extend the finger tip, pain and bruising of the finger[3] |
| Causes | Trauma resulting in over bending of the finger tip[3] |
| Diagnostic method | Based on symptoms, X-rays[3] |
| Treatment | Splinting for 8 weeks, surgery[3] |
| Prognosis | 6 to 10 weeks for healing[3] |
| Frequency | Relatively common[2] |
A mallet finger, also known as hammer finger, is an extensor tendon injury at the farthest away finger joint.[4] This results in the inability to extend the finger tip without pushing it.[3] There is generally pain and bruising at the back side of the farthest away finger joint.[3] Without proper treatment a permanent deformity of the finger may occur.[2]
It usually results from over bending of the finger tip.[3] Typically this occurs when a ball hits an outstretched finger and jams it.[3] This results in either a tear of the tendon or the tendon pulling off a bit of bone (Busch fracture).[3] The diagnosis is generally based on symptoms and supported by X-rays.[3]
Treatment is generally with a splint that holds the fingertip straight continuously for 8 weeks.[3] The middle joint is allowed to move.[3] This should be begun within a week of the injury.[3] If the finger is bent during these weeks, healing may take longer.[3] If a large piece of bone (>25%) has been torn off surgery may be recommended.[3][5] It is relatively common.[2]
Diagnosis
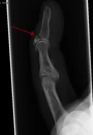
The diagnosis is generally based on symptoms and supported by X-rays.[3] The injury can be accompanied by swelling and ecchymosis.[6]
X-ray showing fracture at the insertion of the extensor tendon
A mallet finger without an associated fracture
Doyle classification of mallet fingers[7]
Treatment
The management goal is to restore extension of the joint.[8] Treatment is generally with a splint that holds the first joint of the finger straight continuously for 8 weeks.[3] This should begin within a week of the injury.[3] The splint may be worn just at night for a few additional weeks after this.[3] The split acts to immobilize flexing of the joint.
Surgery generally does not improve outcomes.[2] It may be required if the finger cannot be straightened by pushing on it or the break has pulled off more than 30% of the joint surface.[2] Surgery may be preferred over the use of a split if a child is non-compliant.[8] If the problem has been present a long time surgery may also be required.[9] An open fracture may be another reason. Surgery will put the finger in a neutral position and drill a wire through the DIP to the PIP, forcing immobilization.
An example of a splint for mallet finger.
Lateral view a splint for mallet finger. Note the lower side is open to allow the second joint to flex.
See also
References
- ↑ Harris, Peter; Nagy, Sue; Vardaxis, Nicholas (2014). Mosby's Dictionary of Medicine, Nursing and Health Professions - Australian & New Zealand Edition - eBook. Elsevier Health Sciences. p. 1050. ISBN 9780729581387. Archived from the original on 2020-04-30. Retrieved 2018-05-24.
- 1 2 3 4 5 6 Leggit, JC; Meko, CJ (1 March 2006). "Acute finger injuries: part I. Tendons and ligaments". American Family Physician. 73 (5): 810–6. PMID 16529088.
- 1 2 3 4 5 6 7 8 9 10 11 12 13 14 15 16 17 18 19 20 21 "Mallet Finger (Baseball Finger)". OrthoInfo - AAOS. March 2015. Archived from the original on 23 October 2017. Retrieved 15 October 2017.
- ↑ White, Timothy O.; Mackenzie, Samuel P.; Gray, Alasdair J. (2016). "13. Hand". McRae's Orthopaedic Trauma and Emergency Fracture Management (3rd ed.). Elsevier. p. 279. ISBN 978-0-7020-5728-1. Archived from the original on 2021-08-28. Retrieved 2022-09-08.
- ↑ "Hand and finger fractures". www.clinicalguidelines.scot.nhs.uk. NHSGGC Paediatrics for Health Professionals. Archived from the original on 26 September 2023. Retrieved 23 February 2024.
- ↑ Buttaravoli, Philip (2012). "Extensor Tendon Avulsion—Distal Phalanx: (Baseball or Mallet Finger)". Minor Emergencies (Third Edition). Saunders. pp. 415–418. doi:10.1016/B978-0-323-07909-9.00108-2. ISBN 9780323245623.
- ↑ Salazar Botero, S; Hidalgo Diaz, JJ; Benaïda, A; Collon, S; Facca, S; Liverneaux, PA (March 2016). "Review of Acute Traumatic Closed Mallet Finger Injuries in Adults". Archives of plastic surgery. 43 (2): 134–44. doi:10.5999/aps.2016.43.2.134. PMID 27019806.
- 1 2 S.Lin, James; Julie BalchSamora (November 2018). "Outcomes of Splinting in Pediatric Mallet Finger". The Journal of Hand Surgery. 43 (11): 1041.e1–1041.e9. doi:10.1016/j.jhsa.2018.03.037. PMID 29776724.
- ↑ Tuttle, HG; Olvey, SP; Stern, PJ (April 2006). "Tendon avulsion injuries of the distal phalanx". Clinical Orthopaedics and Related Research. 445: 157–68. doi:10.1097/01.blo.0000205903.51727.62 (inactive 2020-03-21). PMID 16601414.
{{cite journal}}: CS1 maint: DOI inactive as of March 2020 (link)
External links
| Classification | |
|---|---|
| External resources |
