First, please note that I am not an orthopedist, and please make note of the disclaimer in the yellow box next to your question. This is not to be construed as personal medical advice.
Second, major ouch! You have my sympathy.
You can tell is a fracture is healing by looking for a callus.
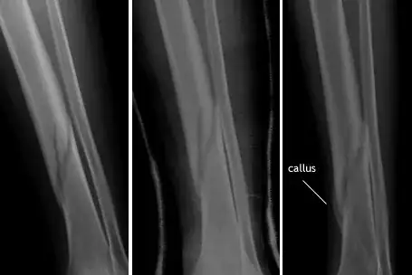
This is a series of radiographs of a more serious tibial-fibular fracture (tib-fib fx for short) at different time periods:

There was an extensive repair done on this tib-fib fx, but looking at the week 10 fracture, you will see that, like yours, it doesn't look much different from the day 1 radiograph. What you can see if you look carefully is a kind of softening of the edges of the fractures. This is due to bone remodeling and callus formation.
The callus is barely visible in this series until week 14 (the image isn't very high quality), and is becoming obvious by week 20.
Note the callus is more easily seen in this series:

You can see the callus very clearly on week 9 when the leg was still in a cast; it is a rounded, radioopaque bulge adjacent to the fracture. The x-ray labelled "callus" was taken at 4 months.
If you look at your radiographs, you can see the callus forming, so long answer short, yes, your fracture(s) are healing. It will take a long time to look healed - about a year - on x-ray.
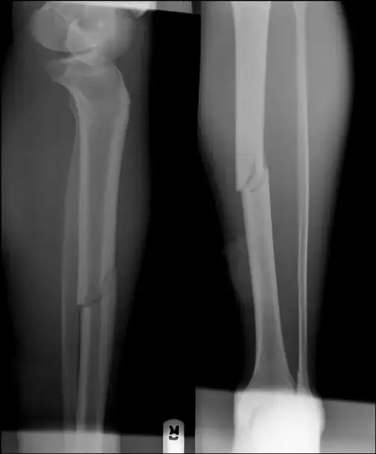
"Breaking" the fibula (or fibular ostotomy) in cases of tibial non-union is not unheard of, but I have absolutely no idea of how often it's done, or if the additional weight-bearing associated with it speeds tibial healing. But please note that you already have an angulated distal fibular fracture (look at the bone - the fibula - behind the tibia just above its concave surface in the leg on the left.) It looks to be at about 20°.
Also note that the tibial stress fractures - the fracture lines perpendicular to the plane of the tibial fracture itself - are more prominent in the second set of x-rays (this may just be picture quality), as well as more prominent displacement of your fracture, which is easier to see if you follow the medullary lines - the "hollow" inner part of the bone where the bone marrow is - you'll see they line up nicely in the first set of x-rays, less so in the second.
I am considering going to another doctor for a second opinion
If you don't fully trust your doctor for any reason whatsoever (and clearly you don't), get a second opinion. It's your leg, and you are to some extent responsible for getting the best medical advice. The internet isn't the best place to do that; a good orthopedist is.
Image obtained from Recombinant Human Bone Morphogenetic Protein-2 for Treatment of Open Tibial Fractures
Image of callus formation from Bone Growth and Remodeling
Oblique osteotomy for the correction of tibial malunion.
Danger Zones Associated with Fibular Osteotomy.