21

We've probably all seen photos of smokers' lungs compared to non-smokers lungs. For example:

enter image description here

These images are commonly used in anti-smoking materials, at least in the US, and I've never had cause to question them. However, this guy claims the images are a lie. He cites seemingly credible sources for his claim, such as these:

“Dr. Duane Carr – Professor of Surgery at the University of Tennessee College of Medicine, said this: “Smoking does not discolor the lung.”

Dr. Victor Buhler, Pathologist at St. Joseph Hospital in Kansas City: “I have examined thousands of lungs both grossly and microscopically. I cannot tell you from exmining a lung whether or not its former host had smoked.” source

Dr. Sheldon Sommers, Pathologist and Director of Laboratories at Lenox Hill Hospital, in New York: “…it is not possible grossly or microscopically, or in any other way known to me, to distinguish between the lung of a smoker or a nonsmoker. Blackening of lungs is from carbon particles, and smoking tobacco does not introduce carbon particles into the lung.” source

The author militantly believes that smokers are treated unfairly and so clearly has an agenda, which lowers his credibility. I also find it difficult to believe that thousands of pathologists and thoracic surgeons would quietly allow such blatant distortions to go unchallenged even if they do feel that the "scare factor" makes the lie justifiable.

However, I find it surprising that I can't find compelling evidence to prove the blogger is wrong. I can find no credible sources confirming the black appearance of smokers' lungs, and all the photos I can find are the same small set of images recycled so many times it's impossible to know where they came from originally. I've also confirmed that it's true that smokers are accepted as lung donors, and it seems difficult to believe that would be the case if they were routinely as grossly damaged as they appear to be in these images.

So my question is: Are smokers' lungs visibly and routinely blackened and/or discolored in the absence of lung disease?

Carey Gregory
  • 9,854
  • 4
  • 26
  • 49
  • 4
    What an interesting question! – anongoodnurse Sep 05 '15 at 21:33
  • 5
    I've read that there is even a difference in color of lungs of non-smokers between those who have lived most of their lives in rural areas and in cities (and we're not talking about cities like Beijing here, just ordinary cities like London). – Count Iblis Sep 06 '15 at 17:02
  • 3
    @CountIblis I'd be happy to see that as an answer if you can find the references. It might only be a partial answer but partial is okay. – Carey Gregory Sep 07 '15 at 05:06
  • 1
    I went to a medical summer camp when a couple years ago and they passed out a normal lung and a smoker's lung. The lungs were definitely real and the smoker's lung was black and not nearly as healthy looking as the normal lung. – Ayomide Manns Nov 24 '17 at 06:18
  • 1
    I just stumbled over this post. Even at the time of writing, those quotes were 45 years old, and according to the excerpt on Google books, Carr drew from his experience as a surgeon in the 1930s and 1940s. If there was genuine doubt, I would expect some more recent data. – Eike Pierstorff Jun 27 '21 at 18:36

2 Answers2

30

So my question is: Are smokers' lungs visibly and routinely blackened and/or discolored in the absence of lung disease?

That last phrase is tricky, because smokers who have heavy pigmentation are likely to have lung disease.

It is not a myth that smokers have black pigmentation in their lungs, but finding proof of gross pathology in picture form is difficult.

Here is one slide from MedicineNet

enter image description here

This is gross (visible to the naked eye) pathology, and you can see dark pigmentation in the region of emphesematous blebs.

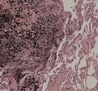
What is not difficult to find are histopathology slides, and many of them show pigment-laden macrophages in smoker's lungs:

enter image description here

Although this was taken from the same page, this kind of slide is present in papers from many different authors.

enter image description here enter image description here

In an American Journal of Surgical Pathology on Respiratory Bronchiolitis,

A correlation was found between degree of cytoplasmic pigmentation of macrophages and number of pack-years smoked and also between the presence of peribronchiolar fibrosis and number of pack-years. No correlation was found between pulmonary function test results and pathologic findings. ...Five cases of variant [Respiratory Bronchiolitis] were encountered that resembled RB except that macrophage cytoplasm lacked pigment. All occurred in never-smokers, and their significance is unknown.

And again in another paper on RB in young smokers,

Respiratory bronchiolitis is a mild inflammatory reaction commonly noted in asymptomatic cigarette smokers. We reviewed 18 cases of respiratory bronchiolitis-associated interstitial lung disease (RB/ILD), which had been diagnosed on the basis of clinical evaluation and open-lung biopsy. All patients were cigarette smokers. The sex distribution of the patients was approximately equal, and their mean age was 36 years. Chest roentgenograms showed reticular or reticulonodular infiltrates in 72% of the patients. Histologically, inflammation of the respiratory bronchioles, filling of the bronchiolar lumens and surrounding alveoli with finely pigmented macrophages...

Finally, I spoke with two county coroner employed pathologists who stated without hesitation that heavy pigmentation was present grossly in heavy smokers, and that without knowing if a person was a smoker or non-smoker, they were able to predict with accuracy who was a heavy smoker. Furthermore, I was invited to come take pictures of lungs on autopsy (going through the proper channels and with the families' permission) of smokers and nonsmokers to authenticate the difference (That won't help with the bounty, of course).

Given all this, I don't believe that there is a medical conspiracy about smokers' lungs looking the way they do.

anongoodnurse
  • 9,988
  • 2
  • 36
  • 65
  • 5
    Good answer. I have to wonder about those quotes the blogger posted. – Carey Gregory Sep 19 '15 at 01:13
  • 2
    Did you ever get to take those photos? Your answer seems to suggest that there is indeed gross pathology, and that pigmentation is visible under a microscope and to a trained eye. Does that actually square with the image in the OP where we see a very dark color on the outside of the lung? I haven't set foot in a lab in a couple of decades now and even when I did, that was as an undergraduate biology student, so my histological knowledge is negligible. It just seems to my ignorant eye that pigmented macrophages wouldn't result in as obvious an effect as shown in the picture. Is that wrong? – terdon Feb 05 '22 at 23:37
  • 1
    @terdon - Sorry I didn't see this until now. No, I didn't (I didn't want to ask the families if I could photograph their deceased loved ones on autopsy.) In med school year 1, for anatomy we were four students to a cadaver, and we had ~140 students, so that's a lot of cadavers. Whenever one was found to have interesting gross pathology (all "gross", as no histo done on cadavers), we were supposed to go see it. Smoker's lung was so common that we stopped going to see it. I can't say my eye was trained in first year med school. So yes, the outside of the lungs are stained. – anongoodnurse Aug 21 '22 at 23:02
-3

Lungs are very efficient at self cleaning because they need to be! You can not change your lungs like you can a filter on a hoover.

Think about it, how many smokers have you seen with black gums and mouths? Teeth and tongue can be discoloured from tea,coffee and cigarette smoke but have you ever seen anyone with the actual skin on the inside of their mouth significantly discoloured?

In addition smokers lungs are used for lung transplants and there is no evidence that they are less likely to make it through the screening process, which would include eye balling when they are removed from the donor. Can you imagine a health professional placing blackend lungs in a container and slapping a donor organ sticker on it?!?

http://www.independent.co.uk/life-style/health-and-families/health-news/smokers-lungs-used-in-half-of-transplants-9101647.html

The anti-smoking industry is happy to carry on misleading people on this subject because that is how they make their money. I would guess that the reason many people who know better do nothing to correct this misconception is simply that they think that if people stop smoking as a result of a little white lie then so be it!

Yes it is myth that smokers have black lungs! They would probably all be very dead long before they could become an organ donor.

UPDATE: I have found quote from Trial testimony of DUANE CARR, M.D., April 1, 1970 [p.m.], WEAVER v. AMERICAN TOBACCO

Q: When you open up a lung and you look at it, tell the jury whether or not you can tell any difference, colorwise or otherwise between the lung of a smoker and the lung of a non-smoker? A: No, there is no way to tell whether a man smokes or not by looking at his lung.

It is on page 7 here

https://www.industrydocumentslibrary.ucsf.edu/tobacco/docs/#id=nhnl0001

UPDATE 2: I have just spent a couple of hours looking for more up to date evidence on the subject with not much luck (not including the unsupported trash written in news columns). I did however find this study where lung surface carbon were analyzed in 72 autopsy specimens by image analysis and found the following:

We did not find a statistically significant association between lung surface and smokers and non-smokers

http://journals.plos.org/plosone/article/file?id=10.1371/journal.pone.0188237&type=printable

It is only 72 specimens but I expect it was quite a time consuming and expensive process!

Fredrik Eich
  • 139
  • 3
  • 3
    I have a hard time agreeing with the content of this answer. Your angle on this is pretty obvious. But using references on this topic is very commendable. If you're able to update the answer with the help of reliable references (also check out the comment on the answer above & aim for more recent ones than your trial transcript) I will upvote despite my disagreement. Especially the first paragraph with backup, if weighed against the upvoted answers would make a nice addition. – LаngLаngС Jan 15 '18 at 16:22
  • 2
    You do realize that you're quoting the same guy that the subject of my question quoted to support his position, right? And the quotes are from a civil court trial 50 years ago in which Dr. Carr testified on behalf of tobacco companies and was probably paid by them to do so. I don't consider his testimony scientific evidence. – Carey Gregory Apr 02 '20 at 14:43
  • I take your points and it is entirely plausible that Dr Carr gave false testimony but it is equally plausible that he did not need to. – Fredrik Eich Apr 02 '20 at 16:38
  • The cited PLOS article is more differentiated. The authors note they could not estimate how much the people smoked, so it is likely that some were occasional or light smokers. Secondly, particulate matter air pollution in Sao Paolo is very high, which likely obscures the effect of smoking in this particular study. The authors also acknowledge that there is other evidence that smoking increases carbon load in lungs. As a general comment,in science you can't just pick one study that supports your view, but have to look at diverse lines of evidence for the whole picture. – Stephan Matthiesen Apr 02 '20 at 17:44
  • I did not pick that one study because it supports any view - it was the only one I could find! If anyone else could find similar regardless of it's conclusions that would be a great help. There is no doubt that inhaling plant smoke will increase the deposition of carbon but as stated lungs are self cleaning - macrophages for example. There is a limit to how much carbon can be dealt with, however, as can be seen with coal workers' pneumoconiosis. But plant smoke and coal dust/smoke have very different properties. – Fredrik Eich Apr 03 '20 at 09:19