Cognitive science generally does not try to explain individual behavior, but rather the behavior of all people. We can meaningfully speak about what may cause a deficient ability to feel guilt and remorse, or other features that characterize an individual, but we cannot speak directly about the individual's behavior outside an applied or clinical context. Therefore, and I cannot stress this enough: please do not read this answer and then start looking for signs of APD in individuals.
Antisocial Personality Disorder
Deficient ability to feel guilt and remorse is a cardinal trait of antisocial personality disorder, or APD (American Psychiatric Association, 2000), which may offer a tentative framework. APD is a complex personality disorder with many different facets and characteristics that, at least at face value, seems to describe a behavioral pattern matching the popular image of a con man, such as Frank Abagnale Jr. surely represents in the popular mind.
Diagnosing APD
Under the DSM-IV-TR definition, satisfying the APD diagnostic criteria requires an individual to A) be over 18 years old, B) exhibit evidence of conduct disorder before age 15, C) not exhibit antisocial behavior exclusively during manic or schizophrenic episodes, and D) exhibit at least three of the following seven symptoms suggesting a pervasive pattern of disregard for and violation of the rights of others occurring since 15 years old:
- Failure to conform to social norms with respect to lawful behaviors as indicated by repeatedly performing acts that are grounds for arrest.
- Deceitfulness, as indicated by repeated lying, use of aliases or conning others for personal profit or pleasure.
- Impulsivity or failure to plan ahead.
- Irritability and aggressiveness, as indicated by repeated physical fights or assaults.
- Reckless disregard for the safety of self and/or others.
- Consistent irresponsibility, as indicated by repeated failure to sustain consistent work behavior or honor financial obligations.
- Lack of remorse, as indicated by being indifferent to or rationalizing having hurt, mistreated or stolen from another.
It's worth noting that the DSM-IV-TR and DSM-V definitions of APD differ somewhat. Because the DSM-V is still so recent, most empirical research at time of writing has used the DSM-IV-TR definition. How well the new definitions correspond with the old ones is ultimately an empirical question, so I will focus on the DSM-IV-TR literature here to avoid speculating.
Cognitive neuroscience of APD
A number of neurocognitive deficits have been identified in patients with DSM-IV-TR antisocial personality disorder. As with most mental disorders and cognitive functions, it's difficult to pin down any one region or set of regions and say "here is where X is." However, Blair and Frith (2000) reviewed three common trends, reporting support for the latter two:
... [1] an impairment in executive functioning implicating prefrontal cortex, [2] an impairment in executive emotion's processing implicating orbito-frontal cortex, and [3] an impairment in emotion processing implicating the amygdala ...
Amygdala

CG illustration of the amygdala's location
One of the main regions commonly associated with APD and antisocial behavior, and in particular with its remorselessness criterion, are the amygdala (Blair and Frith, 2000). However, while the amygdala's heavy involvement in emotional processing is well established (Kandel, 2013), and a veritable sea of studies support an emotional processing deficits and abnormalities in the amygdala for general antisocial behavior (e.g., Coccaro et al., 2006; Narayan et al., 2007; Veit et al., 2002) over different antisocial disorders, I couldn't find any direct investigations of amygdaloid activity in APD patients.
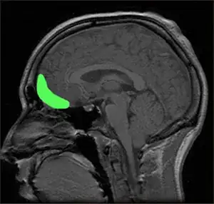
Orbitofrontal Cortex

Model and sagittal MRI of the orbitofrontal cortex
The other region commonly implicated in association with APD and antisocial behavior is the orbitofrontal cortex (OFC) (Blair and Frith, 2000). For example, Völlm et al. (2004) reported fMRI evidence for a go-no-go task suggesting that APD patients exhibited reduced OFC activity for response inhibition as compared with controls. Dinn and Harris (2000) reported that "APD subjects showed greater neuropsychological deficits on measures sensitive to orbitofrontal dysfunction in comparison to control participants." The OFC seems to be associated with increased impulsivity and risk-taking via deficient response inhibition.
Did Frank Abagnale Jr. have APD?
At this point, one may be tempted to answer, "Clearly, he did!" and start looking for APD in oneself, or others. This would be a mistake. Identifying APD in a person requires a considerable amount of well-structured information about that person. Nothing could illustrate that we lack such information here better than Abagnale's own words:
In 2002, Abagnale himself addressed the issue of his story's truthfulness with a statement posted on his company's website which said in part: "I was interviewed by the co-writer only about four times. I believe he did a great job of telling the story, but he also over-dramatized and exaggerated some of the story. That was his style and what the editor wanted. He always reminded me that he was just telling a story and not writing my biography."
With respect to Abagnale himself, therefore, cognitive science does not have anything to say about his story, because we don't have any way to independently verify most of it. We can probably surmise that some of it is accurate, some of it is not, but we can't empirically say which is which. People don't necessarily need to be pathological in order to be jerks.
References
- American Psychiatric Association (2000). Diagnostic and statistical manual of mental disorders (4th ed., Text Revision). Washington, DC: Author.
- Blair, J., & Frith, U. (2000). Neurocognitive explanations of the antisocial personality disorders. Criminal Behaviour and Mental Health.
- Coccaro, E. F., McCloskey, M. S., Fitzgerald, D. A., & Phan, K. L. (2007). Amygdala and orbitofrontal reactivity to social threat in individuals with impulsive aggression. Biological psychiatry, 62(2), 168-178.
- Dinn, W. M., & Harris, C. L. (2000). Neurocognitive function in antisocial personality disorder. Psychiatry research, 97(2), 173-190.
- Kandel, E. R., Schwartz, J. H., & Jessell, T. M., Siegelbaum, S. A., Hudspeth, A. J. (Eds.). (2013). Principles of neural science (Vol. 5). New York: McGraw-Hill.
- Narayan, V. M., Narr, K. L., Kumari, V., Woods, R. P., Thompson, P. M., Toga, A. W., & Sharma, T. (2007). Regional cortical thinning in subjects with violent antisocial personality disorder or schizophrenia.
- Veit, R., Flor, H., Erb, M., Hermann, C., Lotze, M., Grodd, W., & Birbaumer, N. (2002). Brain circuits involved in emotional learning in antisocial behavior and social phobia in humans. Neuroscience letters, 328(3), 233-236.
- Völlm, B., Richardson, P., Stirling, J., Elliott, R., Dolan, M., Chaudhry, I., ... & Deakin, B. (2004). Neurobiological substrates of antisocial and borderline personality disorder: preliminary results of a functional fMRI study. Criminal Behaviour and Mental Health, 14(1), 39-54.